Sau bao năm chịu điều tiếng nâng cấp vòng 1, cuối cùng cô cũng tung ra bằng chứng phủ nhận.
Hàn Hằng sở hữu vòng 1 gợi cảm, cô thường khoe khéo trong những kiểu áo buông cúc.
Hàn Hằng (quê Thanh Hoá) được biết tới là nàng hot girl mạng xã hội. Cô bị chỉ trích nhiều lần vì PR những sản phẩm làm đẹp không có công dụng tốt hoặc chưa có sự trải nghiệm từ bản thân vẫn PR. Từ đây, Hàn Hằng được cư dân mạng gọi với biệt danh “hot girl tạp hoá”.
Bên cạnh đó, sức hút từ cô còn đến từ việc Hàn Hằng sở hữu ngoại hình ấn tượng. Cô có gương mặt sắc sảo cùng thân hình nóng bỏng. Hàn Hằng thường xuyên chụp hình gợi cảm đăng tải trên mạng xã hội. Sau một thời gian ở ẩn, cô đã quay lại sử dụng mạng xã hội và luôn nhận được sự quan tâm từ cư dân mạng.
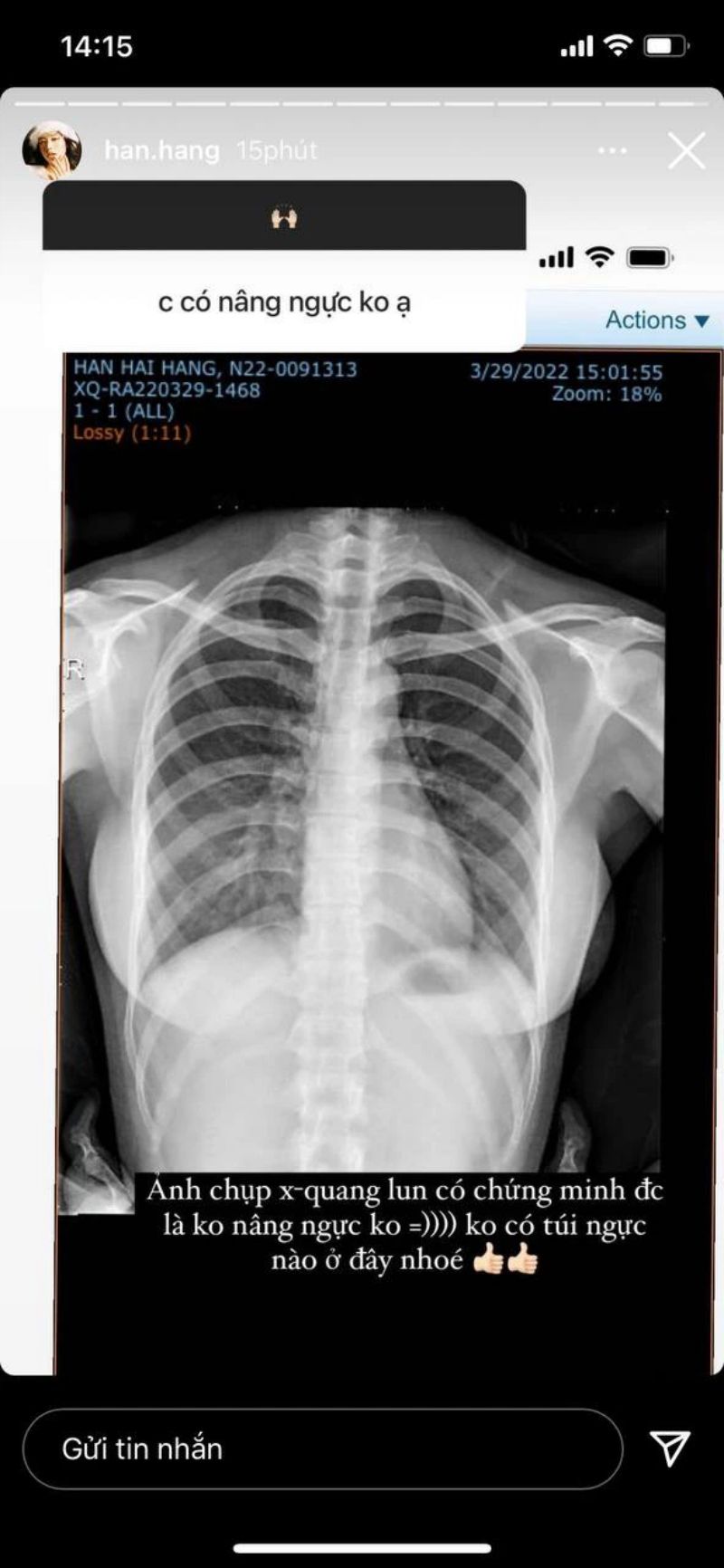
Mới đây, để trả lời cho câu hỏi mà mọi thường thắc mắc là “Hàn Hằng nâng ngực?”, cô đã tung hình chụp X-quang để chứng minh bản thân có vòng 1 đẹp tự nhiên, không hề dao kéo. Đây cũng là cách làm mà nhiều người sử dụng để chứng minh bản thân trong sạch.
Không chỉ Hàn Hằng mà rất nhiều mỹ nhân showbiz Việt từng lâm vào hoàn cảnh tương tự. Vì vòng một tròn đầy, gợi cảm mà bị điều tiếng “dao kéo”. Thậm chí, nhiều người không dám mặc trang phục hở ngực vì sợ bị dị nghị điều mà họ không làm.

Hàn Hằng chia sẻ hình ảnh chụp X-quang minh chứng không có túi ngực nào được sử dụng.

Theo đuổi phong cách gợi cảm nên những bức hình khoe vòng 1 sexy là không thể thiếu. Cô thường xuyên chụp hình cận với những style “quên” áo ngực, mặc áo tắm hay nội y… khoe thềm ngực hấp dẫn.

Vòng một đẹp là niềm mơ ước của bao cô gái.
Chăm sóc vòng 1 đúng cách
Với những người có vòng một nổi trội về kích thước, họ cần chăm sóc đúng cách để hạn chế vòng 1 bị xuống cấp, chảy xệ.
Những thói quen tốt giúp vòng 1 hoàn thiện hơn như mát xa thường xuyên dưới nước nóng hoặc trước lúc đi ngủ. Mát xa đúng cách giúp mạch máu lưu thông, hạn chế hoặc phát hiện sớm nguy cơ mắc bệnh ung thư vú. Bạn có thể mát xa bằng tinh dầu hoặc dùng kem dưỡng ẩm để thư giãn hơn.
Khi nằm ngủ, bạn nên nằm thẳng. Bởi khi nằm nghiêng, một bên ngực sẽ bị đè nén khiến chúng chảy xệ, mất phom, hoặc bản thân cảm thấy tức ngực, khó thở.
Bạn cần chọn áo ngực đúng size để hạn chế việc vòng 1 bị xô đẩy hoặc quá bí bách. Vì, áo ngực quá rộng hay quá chặt đều ảnh hưởng tới vòng ngực trong mọi giai đoạn.
Cuối cùng, những bài tập giúp săn chắc vòng một là điều không thể thiếu. Chỉ cần tập luyện 5 phút mỗi ngày, bạn sẽ cảm nhận được sự thay đổi đáng kể về vòng ngực. Các bài tập đơn giản cho vòng ngực như chống đẩy, đẩy tạ đơn, nâng tạ tròn, tạ nắp ấm…

Hàn Hằng là một trong những hot girl có sức hút lớn trên mạng xã hội nhờ mặt đẹp, dáng xinh, phong cách thời trang ấn tượng.
Nguồn: https://danviet.vn/my-nhan-thanh-hoa-khang-dinh-vong-1-khong-dao-keo-tung-hinh-chup-x-quang-50202…Nguồn: https://danviet.vn/my-nhan-thanh-hoa-khang-dinh-vong-1-khong-dao-keo-tung-hinh-chup-x-quang-5020227418591734.htm
Thời trang đi tàu điện là xu hướng chụp hình được giới trẻ yêu thích trong thời gian gần đây.
Làm đẹp – Tin Tức Làm đẹp
Nguồn: Sưu tầm






























